最近更新于 2025-04-03 23:32
我弟弟快上初中了,初一就要学生物,我就想着买了一台光学显微镜,昨天到了。
送的几个标本看了一遍也没啥意思,想自己做标本家里刚好也没有新鲜的蔬菜了。
刚才突然想到能不能看下精子,于是马上制样观察。
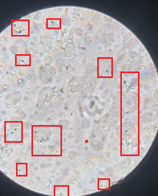
物镜 x40,目镜 x16,总 640 倍,不用染色,效果如图:
能看到游来游去的



用光学显微镜观察精子
最近更新于 2025-04-03 23:32
我弟弟快上初中了,初一就要学生物,我就想着买了一台光学显微镜,昨天到了。
送的几个标本看了一遍也没啥意思,想自己做标本家里刚好也没有新鲜的蔬菜了。
刚才突然想到能不能看下精子,于是马上制样观察。
物镜 x40,目镜 x16,总 640 倍,不用染色,效果如图:
能看到游来游去的


